• یکشنبه ها 19 الی 21 شب - چهارشنبه 19 الی 21 شب
  • تلفن ثابت: 02144038113
  • موبایل: 09912635338
Logo
Logo
  • خانه
  • مقالات
  • خدمات
    • جراحی تعویض مفصل لگن
    • جراحی تعویض مفصل زانو
    • دررفتگی لگن
    • آرتروز لگن
    • شکستگی لگن
  • تماس با دکتر
  • درباره دکتر
رزرو نوبت

بیماری ها

  • دکترمهرآیین
  • بیماری ها
آسیب دیدگی همسترینگ 20 آذر 1402
  • بیماری ها

آسیب دیدگی همسترینگ: مشکلی جدی اما درمان پذیر !

بیشتر بخوانید
شکستگی آرنج 19 آذر 1402
  • بیماری ها
  • مقالات

شکستگی آرنج: انواع، علائم، تشخیص و درمان

بیشتر بخوانید
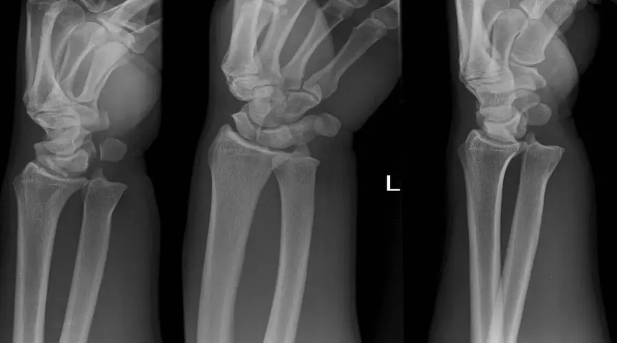
دررفتگی مچ دست 12 آذر 1402
  • بیماری ها
  • مقالات

دررفتگی مچ دست: علت‌ها، علائم و روش‌های درمان

بیشتر بخوانید
درد کف پا 9 آذر 1402
  • بیماری ها

علت درد کف پا + درمان آن!

بیشتر بخوانید
شکستگی ترقوه 7 آذر 1402
  • بیماری ها
  • مقالات

شکستگی ترقوه: علائم، دلایل، انواع تشخیص و درمان

بیشتر بخوانید
دررفتگی انگشت پا 5 آذر 1402
  • بیماری ها
  • مقالات

دررفتگی انگشت پا: علل، علائم، تشخیص و درمان!

بیشتر بخوانید
التهاب مفصل زانو 25 آبان 1402
  • بیماری ها

التهاب مفصل زانو: علائم، عوامل + راه‌های پیشگیری و درمان

بیشتر بخوانید
پارگی لابروم شانه 23 آبان 1402
  • بیماری ها

پارگی لابروم شانه: عوارض، علائم، پیشگیری و راه‌های درمان! 

بیشتر بخوانید
دیسک گردن 18 آبان 1402
  • بیماری ها

دیسک گردن: شناخت علائم و عوامل + راه‌های درمان

بیشتر بخوانید
  • 1
  • 2
  • 3
  • 4
Logo

دکتر مهرآئین متخصص متخصص جراحی ارتوپدی ، همچنین دارای بورد تخصصی جراحی ارتوپدی با ارائه خدماتی ازجمله : جراحی لگن و مفصل ران ، تعویض مفصل لگن و زانو ، و همچنین درمان شکستگی ها و در رفتگی ها در خدمت هموطنان محترم می باشد .

ساعات نوبت دهی

  • یکشنبه ها: 19: - 21:00
  • چهارشنبه: 19: - 21:00

تماس با ما

  • تلفن: 02144038113
    موبایل: 09912635338
  • ایمیل: info@drmehraein.com
  • آدرس: صادقیه,خیابان آیت الله کاشانی,نبش گلستان شمالی,ساختمان پزشکان شماره یک,بلوک یک,واحد یک

کلیه حقوق مادی و معنوی برای دکتر مهربان مهرآئین محفوظ می باشد.

پیاده سازی و سئو توسط آدم برفی